Board Paper of Class 12 2022 Biology (Theory) Set 057/1/4 - Solutions
SECTION A
Section A consists of 24 questions. Attempt any 20 questions from this section. The first 20 questions attempted would be evaluated.
Question 1
Enclosed within the integuments of a typical anatropous ovule is a diploid mass of cellular tissue known as :
- Megaspore mother cell
- Nucellus
- Synergids
- Embryo sac
Ans. (b)
Explanation:An ovule has one or more than one protective envelope called an integument. A mass of cells enclosed within the integuments is called a nucellus. Inside the nucellus, an embryo sac is present. The nucellus cells have an abundant reserve of food materials.
Question 2
Researchers the world over are trying to transfer apomictic genes to hybrid varieties as hybrid characters in the progeny :
- do not segregate
- segregate
- develop genetic variations
- will remain unexpressed
Ans. (b)
Explanation:In some species of plants, such as Asteraceae and grasses, the seeds are formed without fertilization by a special mechanism called as apomixis. It is a type of asexual reproduction that mimics sexual reproduction, and the progenies are clones to their parents. The researchers and agriculturists are trying to search for methods so as to maintain hybrid traits indefinitely and therefore they transfer apomictic genes to hybrid varieties. The hybrid varieties increase productivity, but still, one of the problems of using hybrid seeds is that the characters in progeny segregate in the next generation and do not maintain hybrid characteristics. Also, production of hybrid varieties is costly and thus not economical for farmers.
Question 3
The aquatic plant having long and ribbon like pollen grains is :
- Vallisneria
- Hydrilla
- Eicchornia
- Zostera
Ans. (d)
Explanation:Plants use different pollinating agents such as wind, insects and water to achieve pollination. Aquatic plants are mostly pollinated by water. Some examples of water-pollinated plants are Hydrilla, Zostera, etc. Different aquatic plants have different ways of being pollinated by water. For example, in water lilies, the flower emerges above the water level and is then pollinated by insects. In the case of Vallisneria, pollination occurs at the surface of the water and is termed as Epihydrophily. In another group, as sea grasses like Zostera, the female flower remains submerged in water and pollen grains are released. The pollen grains of such a group are long and have a ribbon-like structure.
Question 4
In a typical dicotyledonous embryo, the portion of embryonal axis above the level of cotyledons is :
- Plumule
- Coleoptile
- Epicotyle
- Hypocotyle
Ans. (c)
Explanation:A dicotyledonous embryo comprises of an embryonal axis and two cotyledons. The part of embryonal axis above the cotyledon is epicotyl which emerges as plumule, whereas the cylindrical portion below the level of the cotyledon is hypocotyl which forms radicle.
Question 5
To overcome incompatible pollinations so as to get desired hybrids, a plant breeder must have the knowledge of____________.
- pollen - nucellar interaction
- pollen - egg cell interaction
- pollen - pistil interaction
- pollen - embryo sac interaction
Ans. (c)
Explanation:Pollination is the process of transfer of pollen grains from the anther to the stigma of the same flower (self-pollination) or another flower of the same species (cross pollination). This process does not guarantee the transfer of the right type of pollen onto the stigma. Sometimes, the wrong type of pollen (incompatible) also lands on the stigma. But the pistil has the ability to identify whether the pollen is compatible or incompatible. The pollen-pistil interaction is group of events that occur from the time of pollen deposition over the stigma till the time of pollen tube growth and its entry into the ovule. If the pollen is compatible, the pistil accepts and promotes the post-pollination events. If the pollen is incompatible, then the pistil rejects the pollen by preventing the germination of the pollen on the stigma or by preventing the growth of the pollen tube in the style. Knowledge of pollen-pistil interaction is helpful to the plant breeders in manipulating the pollen tube growth even in incompatible cases.
Question 6
Pollen grains retain viability for months in plants belonging to different families given below :
- Solanaceae
- Leguminosae
- Gramineae
- Rosaceae
- Liliaceae
The correct option is :
- (i), (ii) and (v)
- (i), (ii) and (iv)
- (ii), (iv) and (v)
- (i), (iii) and (v)
Ans. (b)
Explanation:Once the pollen grains are shed, they have to land on the stigma before they lose their viability. The viability of pollen grains is highly variable in different plants. It depends upon the temperature or humidity to some extent. In some members of Rosaceae, Leguminoseae and Solanaceae, the pollen grains maintain viability for months whereas in some cereals like wheat and rice, they lose viability within 30 minutes of their release.
Question 7
Given below is a diagramatic view of the human male reproductive system :
Identify the correct labelling for W, X, Y and Z and choose the correct option from the table below :
Ans. (c)
Explanation:Vas deferens is the main duct which carries the sperms from epididymis to urethra. Accessory reproductive glands such as seminal vesicle pour its secretion into it and joins to form ejaculatory duct.
Question 8
During human embryonic development, the heart in the embryo is formed after :
- 15 days of pregnancy
- 30 days of pregnancy
- 45 days of pregnancy
- 60 days of pregnancy
Ans. (b)
Explanation:Gestation is the period of time between conception and parturition in humans. In humans, pregnancy lasts for 280 days or 9 months. The first sign of growing fetus is heartbeat of the baby. In the case of humans, after the first month of the pregnancy, the embryo’s heart is developed.
Question 9
The uterus opens into the vagina through a narrow :
- Ampulla
- Isthmus
- Cervix
- Infundibulum
Ans. (c)
Explanation:The uterus is also called the womb. It is an inverted pear-shaped structure. It opens into the vagina through a narrow cervix. The vagina, along with the cervix, forms the birth canal.
Question 10
In the transverse section of a young anther shown below, identify the correct sequence of wall layers from outside to inside :
Ans. (d)
Explanation:The diagram in the question shows an enlarged view of a micro-sporangium wall layer or anther wall. It is covered by four layers, namely the epidermis, followed by the endothecium, the middle layer, and the last inner layer, which is the tapetum. The three outer layers help in the dehiscence of the anther to release the pollen and also perform the function of protection. The inner tapetal layer helps in nourishing the developing pollen grains.
Question 11
Floral reward/s provided by insect pollinated flowers to sustain animal visit is/are :
- nectar and fragrance
- nectar and pollen grains
- pollen grains and fragrance
- fragrance and bright colour
Ans. (b)
Explanation:Most of the insect-pollinating flowers are large, fragrant, colorful and rich in nectar. Animals like bees, butterflies, etc., are attracted to flowers by their colorful petals and fragrance. To sustain animal visits, flowers need to reward the animals. Nectar and pollen grains are the most common rewards.
Question 12
The cause of Klinefelter's syndrome in humans is :
- Absence of Y-chromosome
- Absence of X-chromosome
- Extra copy of an autosome
- Extra copy of an X-chromosome
Ans. (d)
Explanation:Klinefelter’s syndrome is caused due to the presence of an extra copy of X chromosomes. The affected individual is a sterile male with XXY-sex chromosomes. The sterile male shows female like characters, for example, gynecomastia that is enlarged mammary glands, high pitched voice, etc.
Question 13
Select the incorrect pair :
- Polygenic inheritance : Haemophilia
- Linkage : Drosophila
- Incomplete dominance : Antirrhinum
- Pleiotropy : Phenylketonuria
Ans. (a)
Explanation:Polygenic inheritance is a type of inheritance controlled by one or more genes in which the dominant alleles have a cumulative effect. A character is represented by one to several pairs of alleles. It is also called quantitative inheritance or multiple factor inheritance. The genes involved in such a kind of inheritance are termed as polygenes. Each dominant allele express a part of functional polypeptide and full trait is shown when all the dominant alleles are present.
Examples:- Kernel color in wheat
- Cob length in maize
- Skin color in humans
- Human intelligence
Question 14
According to Mendel, the nature of the unit factors that control the expression of traits were :
- Stable
- Blending
- Stable and discrete
- Discrete
Ans. (c)
Explanation:Gametes bring from parents something which makes a character appear in next generation. This is known as a factor. They are the discrete units which were being stably passed down unchanged from a parent to the offspring through the gametes over successive generations.
Question 15
Which of the following animals exhibit male heterogamety ?
- Fruit fly
- Fowl
- Human
- Honey bee
- (i) and (iii)
- (ii) and (iv)
- (ii) and (iii)
- (i) and (iv)
Ans. (a)
Explanation:Male heterogamety refers to the phenomenon where males produce two different types of sperms. The sex of the individual is determined by the type of sperm fertilising the ovum. In case of humans, males have XY sex chromosomes (heterogametic) while females have a pair of XX chromosomes (homogametic). Similar is the case with fruit fly or Drosophila.
Question 16
The probability of all possible genotypes of offsprings in a genetic cross can be obtained with the help of :
- Test cross
- Back cross
- Punnett square
- Linkage cross
Ans. (c)
Explanation:The Punnett square is a tabular summary of possible combinations of maternal alleles with paternal alleles. These tables can be used to examine the genotypical outcome probabilities of the offspring of a single trait (allele), or when crossing multiple traits from the parents. Breeding of the dominant phenotype with the homozygous recessive phenotype (parent) is known as a test cross. All test crosses are backcrosses. The breeding of F1 generation with one of its parent plants is known as a back cross. A backcross can be said as a test cross if the parent is recessive
Question 17
The number of different type of gametes that would be produced from a parent with genotype AABBCc is :
- 1
- 2
- 3
- 4
Ans. (b)
Explanation:According to the Law of segregation of alleles each and every allele segregates during the process of gamete formation and each gamete is likely to get any of the alleles. An individual with genotype AABBCc can produce gametes with either an allele C or allele c. A gene and B gene have only one type of gamete.
Also, we can find the number of gametes by using the formula:
The number of gametes formed by the heterozygous parents = 2n
where n = the number of heterozygous alleles in the parent’s genotype. Therefore, in
AABBCc, the heterozygous allele is Cc, that is,n=1.
Hence, the gametes formed will be = 2 (2n = 21 = 2)
Question 18
Select the important goals of HGP from the given options :
- Store the information for data analysis
- Cloning and amplification of human DNA
- Identify all the genes present in human DNA
- Use of DNA information to trace human history
- (i) and (ii)
- (ii) and (iii)
- (i) and (iii)
- (ii) and (iv)
Ans. (C)
Explanation:Some of the important goals of HGP are:
- Identify all genes
- Store information
- Determine the sequences of chemical base pairs
- Tool for data analysis
- Address social, legal and ethical issues
Question 19
A codon is a 'triplet of bases' was suggested by :
- Marshall Nirenberg
- Har Gobind Khorana
- George Gamow
- Francis Crick
Ans. (C)
Explanation:The mRNA molecule contains a series of nucleotides, in triplets which code the synthesis of proteins. Gamow (1954) first suggested the triplet code. Each triplet containing three nucleotides is called a codon.
Question 20
The correct feature of Double-helical structure of DNA as given by Watson and Crick is :
- Right-handed helix, pitch is 3.4 nm
- Left-handed helix, pitch is 3.8 nm
- Right-handed helix, pitch is 3.8 nm
- Left-handed helix, pitch is 3.4 nm
Ans. (a)
Explanation:In DNA, the two chains are spirally coiled around a common axis to form a regular, right-handed double helix. The double helix has a major groove and a minor groove alternately. The helix is wide; its one complete turn is long and has 10 base pairs; and the successive base pairs are apart.
Question 21
Charging of tRNA during translation is necessary for :
- Binding of anticodons of tRNA to the respective codons of mRNA
- Peptide bond formation between two amino acids
- Movement of ribosomes from codon to codon
- Binding of ribosomes to the mRNA
Ans. (b)
Explanation:The sequence of bases in the mRNA defines the order and sequence of amino acids. These amino acids are joined by the peptide bond. Thus, the formation of peptide bond requires energy. Therefore, in the first step, the amino acid is activated with the help of ATP and linked to the respective/specific tRNA. This process is called charging of tRNA or aminoacylation of tRNA. Two such charged tRNAs are brought close and the formation of peptide bond occurs.
Question 22
If E. coli were allowed to grow in the culture medium for 80 minutes by Matthew Meselson and Franklin Stahl in their experiments, the proportion of light and hybrid density DNA molecule would have been :
- 87.5% of light density DNA and 12.5% of hybrid density DNA
- 75.0% of light density DNA and 25% of hybrid density DNA
- 50% of light density DNA and 50% of hybrid density DNA
- 12.5% of light density DNA and 87.5% of hybrid density DNA
Ans. (a)
Explanation:Meselson and Stahl performed the experiment in 1958. They grew E.coli in a medium containing 15NH4Cl, in which 15N is a heavy isotope of nitrogen. If E.coli with 15N were allowed to grow in a culture medium containing 14NH4Cl, then after 20 minutes (i.e., 1st generation), only hybrid density DNA would be found in the culture medium. Again, after 20 minutes (i.e., 40 minutes – 2nd generation), E.coli allows replicating. The medium then contains 50% hybrid density DNA and 50% light density DNA. In the third generation (60 minutes), the medium contains 75% light density DNA and 25% hybrid density DNA. If E.coli replicates for another 20 minutes (80 minutes – 4th generation), the medium will have 87.5% light density DNA and 12.5% hybrid density DNA.
Question 23
A diagramatic illustration of the process of transcription by RNA polymerase-II in eukaryote is given below. Choose the most appropriate statement with respect to the fate of the precursor of mRNA transcribed that will be :
- Translation will take place once the precursor of mRNA leaves the nucleus.
- Translation on mRNA will not take place once the precursor of mRNA leaves the nucleus.
- Translation will take place in the nucleus.
- The precursor of mRNA has to be processed further in next step before being translated.
Ans. (d)
Explanation:In eukaryotes, three different RNA polymerases are present that transcribe the different types of RNAs. The RNA polymerase II transcribes the precursor of mRNA, the heterogeneous nuclear RNA (hnRNA). After the completion of transcription in eukaryotes mainly, the hnRNA (heteronuclear RNA) undergoes the following additional modifications. These processes are: modification of 5-end by capping (5’guanosine triphosphate cap), polyadenylation at 3–end (tailing) and splicing of hnRNA. As a result, a mature mRNA is produced and, furthermore, it is used in the process of translation.
Question 24
Identify the correct pair of codon with its corresponding pair of amino acid :
- UAA : Leucine
- UGA : Serine
- AUG : Histidine
- UUU : Phenylalanine
Ans. (d)
Explanation:The genetic code is triplet in nature. The 64 distinct triplets of purine and/or pyrimidine bases determine the 20 amino acids. Out of the 64 codons, only 61 codons code for amino acids, while the remaining 3 codons do not code for any amino acid. Therefore, they are called "stop codons". UAA, UAG and UGA are the three stop codons. UAA represents ochre, UGA represents opal while AUG represents methionine or start codon.
SECTION B
Section B consists of 24 questions. Attempt any 20 questions from this section. The first 20 questions attempted would be evaluated.
Question Nos. 25 to 28 consists of two statements – Assertion (A) and Reason (R). Answer these questions selecting the appropriate option given below :
- Both Assertion (A) and Reason (R) are true and Reason (R) is the correct explanation of Assertion (A).
- Both Assertion (A) and Reason (R) are true, but Reason (R) is not the correct explanation of Assertion (A).
- Assertion (A) is true, but Reason (R) is false.
- Assertion (A) is false, but Reason (R) is true.
Question 25
Assertion (A) : Very often persons suffering from Sexually Transmitted Diseases (STD) do not go for timely detection and proper treatment.
Reason (R) : Absence or less significant symptoms in the early stages of STDs and the social stigma attached to the disease.
Ans. (a)
Explanation:People suffering from STDs do not go for timely detection and proper treatment due to the less significant symptoms of the STDs. Usually symptoms in early stages are itching, burning sensation, inflammation in genitals, etc. Many STDs are said to be socially stigmatized, therefore people are judged or condemned for being infected with STDs, for example in case of person suffering from AIDS.
Question 26
Assertion (A) : Vasectomy is a sterilisation procedure advised for females as a terminal method.
Reason (R) : In vasectomy, a small part of the vas deferens is removed or tied by blocking gamete transport therefore preventing conception.
Ans. (d)
Explanation:Vasectomy is a sterilisation procedure advised for males. In vasectomy, a small part of the vas deferens is removed or tied so as to block gamete transport, therefore preventing conception. In case of females, the surgical method employed for contraception is termed as Tubectomy which involves cutting and tying of fallopian tube so as to inhibit gamete transfer.
Question 27
Assertion (A) : Interstitial spaces outside the seminiferous tubule have blood vessels and sertoli cells.
Reason (R) : Sertoli cells provide nutrition to the germ cells.
Ans. (d)
Explanation:Each testis consist of 250 compartments called as testicular lobules and each lobule contains 1-3 highly coiled seminiferous tubules surrounded by connective tissue in which numerous cells called interstitial cells or Leydig cells occur. These cells produce male sex hormones named androgens like testosterone. Each seminiferous tubule is lined on its inside by two types of cells called male germ cells and Sertoli cells or sustentacular cells or nurse cells. Sertoli cells are nutritive in function. The germinal epithelial cells produce sperms by spermatogenesis.
Question 28
Assertion (A) : Accumulation of phenylalanine in the brain results in mental retardation in Phenylketonuria.
Reason (R) : The affected person lacks phenylalanine which is therefore not converted to tyrosine.
Ans. (c)
Explanation:Phenylketonuria is caused by mutation in the gene coding the enzyme phenylalanine hydroxylase. The affected individuals lack an enzyme (phenylalanine hydroxylase) that catalyzes the conversion of amino acid phenylalanine into tyrosine. The affected individuals show mental retardation, and hair and skin pigmentation.
Question 29
Choose the correct option for the features of functional mammary gland of all female mammals from the statements below :
- Glandular tissue with variable amount of fat.
- Mammary lobes, 30 – 40 in number called alveoli.
- Mammary ducts joining to form mammary tubules.
- Mammary ampulla connected to lactiferous duct.
- (i) and (iii)
- (ii) and (iii)
- (i) and (iv)
- (ii) and (iv)
Ans. (c)
Explanation:Mammary glands or Breasts are modified sweat glands. These are paired structure consisting of glandular tissue, fibrous tissue and variable amount of fat. Each mammary gland consists of 15-20 mammary lobes that forms the glandular tissue and contains cluster of milk secreting alveoli which open into tubules; they join to form mammary ducts. These ducts further join to form mammary ampulla which is connected to the lactiferous duct through which milk is sucked out.
Question 30
Which condition of gynoecium (pistil) is shown the figures (i) and (ii) ?
- (i) multicarpellary apocarpous, (ii) multicarpellary syncarpous
- (i) multicarpellary syncarpous, (ii) multicarpellary apocarpous
- (i) bicarpellary apocarpous, (ii) bicarpellary syncarpous
- (i) bicarpellary syncarpous, (ii) bicarpellary apocarpous
Ans. (b)
Explanation:In figure (i), the plant has multiple carpels which are fused together representing multicarpellary syncarpous condition. In case of figure (ii), the plant has separate carpels (not fused together), therefore, it is termed as multicarpellary apocarpous.
Question 31
An IUD recommended to promote the cervix hostility to the sperms is :
- CuT
- Multiload-375
- LNG-20
- Cu7
Ans. (c)
Explanation:The IUDs are available as non-medicated IUDs (e.g., Lippes loop), copper releasing IUDs (Cu7, CuT, etc.) and hormone releasing IUDs (e.g., LNG-20). The copper releasing IUDs suppress sperm motility and the fertilising capacity of sperms. However, the hormone releasing IUDs make the uterus unsuitable for implantation and also cervix hostile to the sperm.
Question 32
Identify the disease which is not a sexually transmitted disease :
- Gonnorhoea
- Syphilis
- Amoebiasis
- Chlamydiasis
Ans. (c)
Explanation:An infection caused by an amoeba is called amoebiasis. It spreads through eating or drinking contaminated food or water. The symptoms of the disease include diarrhea, cramps, stomach pain, etc.
Question 33
The nature of meiotic division during oogenesis in a human female is :
- equal cell division
- suspended cell division
- continuous cell division
- rapid cell division
Ans. (b)
Explanation:Oogonia undergo meiosis I and form primary oocytes. The primary oocytes temporarily remain in prophase I until the first menstrual cycle. After that, each month, the primary oocytes resume the meiosis process. This type of cell division where cells remain in some phase of the cycle is called a suspended cell division.
Question 34
Choose the correct labellings for the parts X, Y and Z in the given figure of the stages in embryo development in a dicot :

- X is suspensor, Y is radicle and Z is cotyledon
- X is radicle, Y is cotyledon and Z is suspensor
- X is cotyledon, Y is suspensor and Z is radicle
- X is zygote, Y is radicle and Z is cotyledon
Ans. (c)
Explanation:Development of embryo:
- The zygote or oospore is divided by a transverse wall into suspensor cell and an embryonal cell.
- The suspensor cell, which lies towards the micropylar end, is divided by transverse divisions to constitute 6-10 celled suspensor.
- The upper cell of the suspensor filament towards the micropylar end is called haustorial cell, whereas the cell lying above the embryo cell is called hypophysis.
- The haustorial cell enlarges in size and attaches the suspensor to the tip of the embryo sac.
- The embryonal cell is divided by second longitudinal division at right angle to the first and then by transverse division to form an octant or an eight celled embryo.
- Out of these eight cells, the lower four cells of the octant away from the suspensor give rise to the plumule and the two cotyledons, while the above four cells of the octant near the suspensor form the hypocotyl and the stele of radicle.
Question 35
Which of the following outbreeding devices are used by majority of flowering plants to prevent inbreeding depression ?
- Pollen release and stigma receptivity are not synchronised.
- Different positions of anther and stigma.
- Production of different types of pollen grains.
- Formation of unisexual flowers along with bisexual flowers.
- Preventing self-pollen from fertilising the ovules by inhibiting pollen germination.
- (i), (ii) and (v)
- (ii), (iii) and (v)
- (i), (iii) and (v)
- (iii), (iv) and (v)
Ans.(a)
Explanation:The continued self-pollination of plants leads to inbreeding depression. To avoid and discourage self-pollination, there are some outbreeding devices, such as, in some species, pollen release and stigma receptivity are not synchronised. Another way is to place the stigma in a different position so that the pollen cannot come in contact with it. Also, through genetic mechanisms, inbreeding can be avoided. Here, the pollen is prevented from fertilising the ovules by inhibiting pollen germination or pollen tube growth in the pistil.
Question 36
Histone proteins that help in forming the nucleosomes in the nucleus are rich in basic amino acids such as :
- Arginine and tyrosine
- Lysine and histidine
- Arginine and lysine
- Histidine and tryptophan
Ans. (c)
Explanation:n eukaryotes, this organisation is much more complex. There is a set of positively charged, basic proteins called ‘histones’. Histones are rich in basic amino acid, lysine and arginine. Both the amino acid residues carry positive charges in their side chains. The structure is organised to form a unit of eight molecules known as ‘histone octamer’. The negatively charged DNA is wrapped around the positively charged histone-octamer to form a structure called ‘nucleosome’.
Question 37
In Pisum sativum, the flower position may be axial (allele A) or terminal (allele a). What would be the percentage of the offspring with respect to axial flower position, if a cross is made between parents
- 25%
- 50%
- 75%
- 100%
Ans. (b)
Explanation:Let’s make a cross between the parents (Aa × aa) given in the question and find out the percentage of the offspring.
From this cross, it can be concluded that 50% of the offspring have an axial flower position while the other 50% have a terminal flower position.
Question 38
In humans rolling of tongue is an autosomal dominant trait (R). In a family both the parents have the trait of rolling tongue but their daughter does not show the trait, whereas the sons have the trait of rolling of tongue.
Ans. (b)
Explanation:According to the question, the genotype of both the parents must be heterozygous (Rr) for the trait. If the parents are homozygous for the trait, then all of their children should also have that disease. But as per the question, only their son is suffering from the disease.
From knowing the genotype of both the parents, we can find the genotype of their children by making a cross between them.
From the cross, their son is either RR or Rr, and their daughter is rr because she is not suffering from the rolling of the tongue disorder. Therefore, she will not have any dominant allele for the rolling of the tongue in her genotype. As their son is suffering from this disease, therefore, at least one of the genes should have a dominant allele.
Question 39
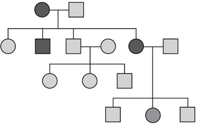
Study the pedigree analysis of human given below and identify the type of inheritance along with an example :
- Sex-linked recessive, Haemophilia
- Sex-linked dominant, Vitamin D resistant rickets
- Autosomal recessive, Sickle-cell anaemia
- Autosomal dominant, Myotonic Dystrophy
Ans. (c)
Explanation:In the first generation, the mother has a disease and the father is normal. In the second generation, both the daughter and son have the disease, indicating that the disease was passed on to the daughter or son by their mother; thus, the trait is not linked to sex. Now, the diseased daughter in the second generation is heterozygous dominant, whereas the person she marries is normal. In the third generation, the disease is only passed to their daughter, and their sons are normal. From this, it is indicated that the disease is an autosomal recessive disease.
Question 40
Possibility of the blood groups of the children in a family where the father is heterozygous for blood group 'A' and the mother is heterozygous for blood group 'B', would be :
- Blood groups 'A', 'B'
- Blood groups 'A', 'B', 'O'
- Blood group 'AB', 'O'
- Blood groups 'A', 'B', 'AB', 'O'
Ans. (d)
Explanation:As per the question, the father is heterozygous for blood group A, thus his genotype is IAi. Similarly, the mother is heterozygous for blood group B, thus her genotype is IBi.
Now, the possibility of the blood groups in the offsprings will be:
Question 41
The correct statement with respect to Thalassemia in humans is :
- -Thalassemia is controlled by a single gene HBB.
- The gene for -Thalassemia is located on chromosome-16.
- -Thalassemia is controlled by two closely linked genes HBA-1 and HBA-2.
- In -Thalassemia the production of -globin chain is affected.
Ans. (b)
Explanation:It is an autosomal recessive blood disorder. The defect occurs due to the mutation or deletion of the genes controlling the formation of the globin chain of haemoglobin. An imbalanced synthesis of globin chains in haemoglobin causes anemia. Thalassemia is of two types, depending upon which chain of the haemoglobin molecule is affected. When globin chain is affected, it is called thalassemia. It is controlled by two closely linked genes, HBA1 and HBA2, on chromosome 16. Whereas, when the production of globin chain is affected, it is called Tthalassemia. It is controlled by a single gene, HBB, on chromosome 11.
Question 42
A region of coding strand of DNA has the following nucleotide sequence:
5' - TACGCCG - 3'
The sequence of bases on mRNA transcribed by this would be:
- 5' - UACGCCG - 3'
- 3' - UACGCCG - 3'
- 5' - ATGCGGC - 3'
- 3' - ATGCGGC - 3'
Ans. (a)
Explanation:In the question, a nucleotide sequence of coding strand is given. But, as we know, the mRNA is transcribed from the template strand. The coding strand does not code for anything.
Given,
Coding strand = 5'- TACGCCG -3'
Template strand = 3' – ATGCGGC –5'
Therefore, the sequence of bases on the mRNA transcribed will be
Template strand = 3' – ATGCGGC –5'
mRNA strand = 5'- UACGCCG -3' (In case of RNA, thymine is replaced by uracil.)
Question 43
A DNA molecule is 160 base pairs long. If it has 20% adenine, how many cytosine bases are present in this DNA molecule?
- 48
- 64
- 96
- 192
Ans. (c)
Explanation:The number of base pairs in a DNA molecule is 160, as given in the question.
Therefore, the total number of bases = 160 ×2 = 320 bases (because one pair has two nitrogenous bases).
According to Chargaff's rules, the amount of adenine is equal to the amount of thymine, and the amount of guanine is equal to the amount of cytosine.
So, adenine = 20%, as given in the question; therefore, thymine = 20% and rest of the sequence consist of G and C that is 60% (30% each of the nitrogenous bases).
Now,
Question 44
A template strand in a bacterial DNA has the given base sequence:
5' - AGGTTTAACG - 3'
What would be the RNA sequence transcribed from this template strand?
- 5' - CGUUAAACCU - 3'
- 5' - AGGUUUUUCG - 3'
- 5' - TCCAAATTGC - 3'
- 5' - AGGTTTAACG - 3'
Ans. (a)
Explanation:In the question, base sequence of a template strand is given, that is, 5’-AGGTTTAACG -3'.
As we know, mRNA is transcribed from the template base or has a sequence base complementary to that of the template strand. Therefore, the RNA sequence will be
RNA strand = 3’- UCCAAUUGC -3’ (In case of RNA, thymine is replaced by uracil.)
Question 45
In the presence of allolactose, the lac repressor in the operon of E. coli:
- binds to the operator
- cannot bind to the operator
- binds to the promoter
- binds to the regulator
Ans. (b)
Explanation:Lactose is the inducer in lac operon; when lactose is present/added to the cell, it binds to the repressor and changes the conformation of the repressor, thereby making it inactive. Such a repressor does not bind to the operator and, hence, RNA polymerase has access to the structural genes. The transcription precedes and lactose is metabolised.
Question 46
Taylor and colleagues performed experiments on _____________ using radioactive _____________ to prove that the DNA in chromosomes replicate semi-conservatively.
(Select the correct option for the blanks)
- Vicia faba, Uridine
- E. coli, Uridine
- Vicia faba, Thymidine
- E. coli, Thymidine
Ans. (c)
Explanation:In 1958, Taylor and his colleagues performed an experiment involving the use of radioactive thymidine. They performed their experiment on Vicia faba (faba beans). From their experiment, they proved that the chromosomes inside the DNA also replicate semi-conservatively.
Question 47
The reactive hydroxyl group in the nucleotide of RNA is:
- 5' OH
- 4' OH
- 3' OH
- 2' OH
Ans. (d)
Explanation:The presence of a hydroxyl group at the 2nd carbon in RNA makes the RNA more reactive and less stable. Therefore, RNA is not an ideal genetic material. Only in a few species is the RNA found as a genetic material like viruses.
Question 48
Given below are the pairs of contrasting traits in Pisum Sativum as studied by Mendel.
Identify the incorrect pair of traits:
Ans. (c)
Explanation:Mendel conducted the hybridisation experiments on garden pea(Pisum Sativum). He chose the pea plant due to the presence of contrasting characters like tall or dwarf (the stem’s height), round and wrinkled (the seed’s shape), etc. One of the traits in this character is a dominant trait, while the other is a recessive trait.
In this question, the incorrect pair is yellow and green (pod’s colour) because green is a dominant trait while yellow is a recessive trait.
SECTION C
Section C consists of one case followed by 6 questions. Besides this 6 more questions are given. Attempt any 10 questions from this section. The first 10 questions attempted would be evaluated.
Case Study
A group of medical student ts carried out a detailed study on the impact of various factors on the different hormones during the menstrual cycle in a human female. They collected the data with different factors. Given below is the graph plotted from the data collected showing the morning temperature and concentration of hormones FSH, LH, estrogen and progesterone during normal menstrual cycle in a woman.

Study the graph and answer the given questions (Question nos. 49 - 54)
Question 49
The early morning recording of temperature in the graph during actual menstruation and during ovulation respectively are :
- low, high
- high, low
- low, low
- high, high
Ans. (c)
Explanation:The temperature of the body at rest is known as basal body temperature (BBT). By looking at the graph given in the question, it can be concluded that the temperature during menstruation, i.e., the first day of the cycle, is low. Similarly, BBT at the time of ovulation is also reduced. The rise in temperature is the result of the release of progesterone hormone. Women can use charting average basal body temperatures over the length of a menstrual period so as to determine the time of ovulation.
Question 50
The time of ovulation is of importance in cases of :
- couples having difficulty in conception.
- to know the safe period for prevention of pregnancy.
- to inhibit the process of ovulation.
- to stimulate ovarian follicular development.
- (i) and (iv)
- (ii) and (iv)
- (i) and (ii)
- (iii) and (iv)
Ans. (c)
Explanation:A couple should have the knowledge of time of ovulation as it is the most fertile stage of menstrual cycle. During the ovulatory phase, the egg is released and is ready for fertilisation.
Question 51
The increase in the level of progesterone is maximum under the influence of LH during :
- Secretory phase
- Follicular phase
- Menstruation
- Proliferative phase
Ans. (a)
Explanation:The second half of the menstrual cycle is called secretory phase or luteal phase which is characterized by formation of corpus luteum from the ruptured follicle after ovulation. Ovulation occurred under the effect of LH hormone and corpus luteum secretes progesterone.
Question 52
Which of the following hormone/hormones is/are showing rapid surge leading to changes in Graafian follicle just before ovulation ?
- LH
- FSH
- FSH and Estrogen
- FSH and LH
Ans. (d)
Explanation:LH and FSH are increased in the middle of the cycle. The rapid increase in LH leads to the rupturing of Graafian follicle and, thereby, the release of ovum takes place.
Question 53
The human corpus luteum starts regressing ________ days after ovulation.
(Identify the correct choice for the blank).
- 10 - 11
- 14 - 15
- 16 - 17
- 18 - 20
Ans. (b)
Explanation:The corpus luteum is formed in the mammalian ovary from a ruptured Graafian follicle after ovulation. It degenerates in the absence of fertilisation as the level of gonadotropins (FSH and LH) drops.
Question 54
As per the data plotted in the graph, in which period of the menstrual cycle is the chance of fertilisation very high in human female ?
- 3rd - 9th days
- 10th - 17th days
- 18th - 23th days
- 23rd - 28th days
Ans. (b)
Explanation:The menstrual cycle has three phases:
- Menstrual phase: Degeneration of endometrium and bleeding (1 to 4 days)
- Proliferative phase: Regeneration of endometrium (5 to 13 days)
- Luteal phase: This phase lasts for 12 to 15 days. Ovulation occurrs around day 14, also it leads to formation of corpus luteum from the ruptured follicle. Corpus luteum secretes progesterone in this phase (days 15 to 28).
Question 55
A plant breeder crossed a pure bred tall plant having white flowers with a pure bred dwarf plant having blue flowers. He obtained 202 F1 progeny and found that they are all tall having blue flowers. Upon selfing these F1 plants he obtained a progeny of 2160 plants. Approximately how many of these are likely to be short having blue flowers ?
- 1215
- 405
- 540
- 135
Ans. (b)
Explanation:
Question 56
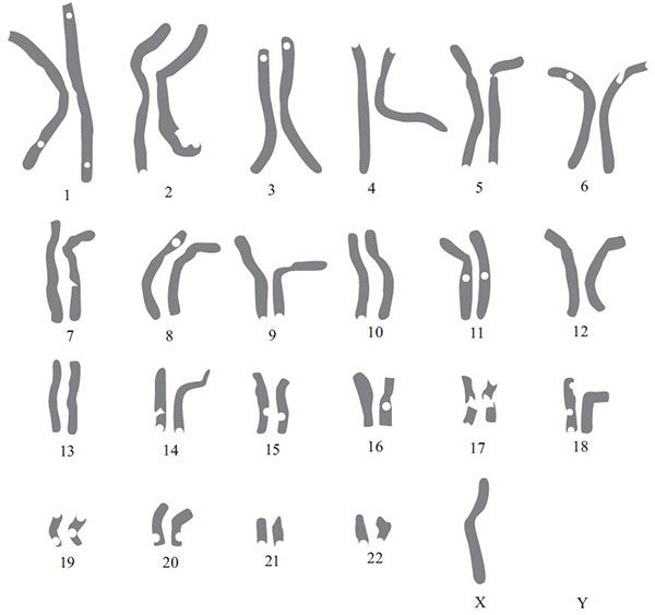
Given below is a Karyotype of a human foetus obtained for screening to find any probable genetic disorder :

Based on the Karyotype, the chromosomal disorder detected in unborn foetus and the consequent symptoms the child may suffer from are :
- Turner's syndrome : Sterile ovaries, short stature
- Down's syndrome : Gynaecomastia, overall masculine stature
- Turner's syndrome : Small round head, flat back of head
- Turner's syndrome : Small round head, flat back of head
Ans. (a)
Explanation:According to the karyotype given, all autosomes are present in pairs except the one sex chromosome. Thus, one Y chromosome is missing, therefore, the individual has 45 with XO set of chromosomes. This disorder is called Turner’s syndrome. It occurs due to the absence of one X chromosome. In such a case, females are sterile as ovaries are rudimentary and they also lack other secondary sexual features.
Question 57
In the dihybrid cross that was conducted by Morgan involving mating between parental generation for genes yellow bodied, white eyed female Drosophila and wild type male Drosophila, upto F2 generation is given below :

Study the result obtained of the F2 progeny. Select the correct option from the given choices for the F2 progeny.
- Parental type, 1.3% : Strength of linkage high
- Recombinant types, 1.3% : Strength of linkage low
- Parental type 98.7% : Strength of linkage high
- Recombinant types, 98.7% : Strength of linkage low
Ans. (c)
Explanation:Incomplete linkage: Genes located on the same chromosome have a tendency to segregate due to cross-over. As a result, recombinant progeny are produced besides the parental type. In independent assortment, the number of recombinant individuals is lower than expected. In each case, two parental types and two recombinant types are each 25% in the case of independent assortment. However, in the case of linkage, each of the two parental types is more than 25%, whereas recombinant types are less than 25%.
Examples: Morgan and his students discovered that linked genes have different recombinations, some of which are more tightly linked than others. For example, in Drosophila, crossing yellow-bodied (Y) and white-eyed (W) females with brown-bodied (Y+) and red-eyed (W+) males resulted in F1, which was brown bodied and red eyed. Morgan discovered that the two genes did not segregate independently of each other when F1 progeny were intercrossed, and that the F2 ratio departed greatly from the expected 9: 3: 3: 1 ratio. He discovered that 98.7% of the samples were parental and only 1.3% were recombinants. (ii) In a second Drosophila cross between white-eyed and miniature-winged females with wild type or red-eyed normal-winged males, all of the F1 were red eyed and normal winged. After then, an F1 female fly was crossed with a white-eyed, miniature-winged male. 62.8% of the population progeny were of parental types while 37.2% were recombinants.
Question 58
Study the given diagrammatic representation of Griffith's experiment to demonstrate transformation in bacteria :

Select the option which is incorrectly representing the experiment :
- (i) and (iii)
- (ii) and (iii)
- (iii) and (iv)
- (ii) and (iv)
Ans. (c)
Explanation:Transformation experiments were initially conducted by F. Griffith in 1928.
- He injected a mixture of two strains of Pneumococcus (Diplococcus pneumoniae) into the mice. The strains were S III (virulent form) and strain RII (non-virulent).
- The S III type bacteria when injected into the mice cause pneumonia and ultimately lead to death of mice while R II type bacteria when injected didn’t resulted in death of the mice as it didn’t cause the disease.
- Then heat killed S III bacteria was taken and injected into the mice. They did not cause the disease and thus mice lived.
- Heat killed S III and R II (non-virulent) bacteria, when they were injected into the mice, causing pneumonia. Finally, death occurred.
Question 59
Which one of the following diagram correctly represents DNA replication in eukaryotes ?

Ans. (a)
Explanation:The DNA strands open up to a certain point forming a replication fork. Replication fork is the Y-shaped structure formed as a result of small opening of DNA helix for replication. Since DNA polymerase can polymerise the nucleotides only in 5’-3’ direction, in the replication fork, it polymerises the nucleotides into short stretches. Later, these short stretches, Okazaki fragments, are joined by the action of DNA ligases into the lagging strand.
Question 60
In the given figure of translation machinery of eukaryotes, select the correct labellings for (i), (ii), (iii) and (iv) :

- (i) Codon, (ii) Anticodon, (iii) tRNA, (iv) 3' end of mRNA
- (i) Anticodon, (ii) Codon, (iii) 3' end of mRNA, (iv) 5' end of mRNA
- (i) Polypeptide chain, (ii) Large subunit of ribosome, (iii) 5' end of mRNA, (iv) tRNA
- (i) Ribozyme, (ii) Polypeptide chain, (iii) tRNA, (iv) 5' end of tRNA
Ans. (c)
Explanation:The figure showing the diagrammatic representation of translation: